Fall des Monats: Begradigung der Beinachse bei beginnender Gonarthrose
Problem:
Schmerzen auf der Innenseite des Kniegelenks durch mäßigen Verschleiß
Lösung:
Achskorrektur mit Entlastung der Innenseite des Kniegelenks
Anamnese:
- männlicher Patient
- 52 Jahre alt
- Vorstellung in der Sprechstunde (Drittmeinung)
- 52-jähriger Hobby-Marathonläufer
- Starke Schmerzen innenseitiger Gelenkspalt Knie rechts
- Vor 30 Jahren offene Cystenentfernung in der Kniekehle
- Laufen oder Lauftraining komplett unmöglich wegen der Schmerzen
- Bisher 810 Marathonläufe
- 112000 Kilometer gelaufen
- 1700 Wettkämpfe bestritten
Diagnostik:
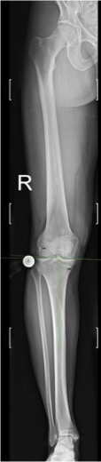
- Die Röntgenaufnahmen unter Belastung zeigen eine Einengung des innenseitigen Gelenkspalts im Sinne der medialen Gonarthrose Stadium III.
Die Ganzbeinaufnahme zeigt eine O-Beinstellung (Varus) mit Verlagerung der Traglinie nach medial
- Das Kernspintomogramm ist stets Teil unserer Analyse. Hier finden sich sektorale Knorpeldefekte innenseitig am rechten Knie sowohl am Oberschenkel als auch am Schienbeinkopf. Die seitliche Aufnahme (rechts) zeigt eindrucksvoll diie Knochenmarködeme an Femur und Tibia (Aufhellungen) als Ausdruck der Überlastung.
- Die Analyse der Achsen- und Winkelverhältnisse des Beines ist integraler Bestandteil unserer Beratung und kann nur an einer Ganzbeinaufnahme . Hier zeigt sich als wesentlicher Befund eine Varusbiegung der Tibia (Schienbein), welche die O-Beinstellung begründet.
LDFA 89°
MPTA 84° !!!
JLCA 2°
MAD 25 mm
Überlegungen:
- Wir empfahlen dem Patienten eine Achsenkorrektur am Unterschenkel (valgisierende open-wedge-Osteotomie der Tibia, Stabilisierung mit dem Tomofix-Implantat). Dieses massgeblich von uns entwickelte Verfahren hat sehr gute Langzeitergebnisse gerade bei hochaktiven Patienten. Die exakte Vorplanung erfolgt mit einem Computerprogramm.
Therapie:
Begradigung der Beinachse durch einen knöcherne Umstellungsosteotomie an der kniegelenksnahen Tibia (Schienbein)
Verlauf:
- Mobilisation ab dem 1. postoperativen Tag
- Röntgenkontrolle 3 Tage postoperativ. Der Patient geht schmerzfrei mit Stützen

- 4 Wochen postoperativ ist Vollbelastung möglich. Der verbliebene Spalt heilt unter dem Schutz der Platte in den nächsten Monaten spontan

- 3 Monate postop Beginn Lauftraining
- Marathon ab 4 Monate postop

- 5 Monate postop 6 Marathons in 8 Wochen
- 10 Monate postop Berlin Marathon

- 12 Monate postop Hannover Marathon

Fazit
- Die Umstellungsosteotomie ist ein bewährtes und sehr effektives Verfahren. Voraussetzung ist eine vorbestehende knöcherne Fehlstellung (beim männlichen Geschlecht ist die Varusdeformität sehr häufig). Die Arthrose sollte noch nicht zu weit fortgeschritten sein. Der Effekt besteht in der mechanischen Entlastung der geschädigten Anteile des Kniegelenks und in der Stimulation einer biologischen Reparatur der Strukturen. Die Langzeitergebnisse sind gut und es ist zu hoffen, dass unser Patient seinen Laufsport nun viele Jahre unbeeinträchtigt durchführen kann.
